It is a long established fact that a reader will be distracted by the readable content of a page when looking at its layout.

Minimizes ischemic cellular breakdown process
Demonstrates viability and functionality of our PCLS
Imaging techniques & biomarker analysis to evaluate changes
Enables transcriptomics &
disease modeling
Precision-cut lung slices (PCLS) have emerged as a highly valuable tool in drug discovery research, offering a unique combination of intact functionality and tissue viability. These slices, prepared using specialized equipment like Vibratomes, retain the intricate lung architecture, including small airways, respiratory parenchyma and immune competent cells, closely mirroring the cellular composition of intact lungs.
AnaBios proudly presents our innovative Precision-Cut Lung Slice (PCLS) Media Solution, a meticulously crafted formulation engineered to enhance the longevity, performance and structural integrity of human precision-cut lung slices. This advanced media solution plays a pivotal role in preserving the vitality and functionality of PCLS, thereby ensuring their continued efficacy as a dependable research tool. By maintaining optimal conditions for these delicate tissue samples, our solution significantly contributes to the advancement of drug discovery initiatives, toxicological assessments and academic investigations in the field of respiratory research.
Hallmarks of respiratory toxicity include inflammatory responses and cytokine release. Understanding and limiting early innate immune response in the lung is a crucial component of developing safe and effective medicines across therapeutic modalities.
AnaBios human PCLS samples show inflammatory responses to a variety of insults and the biorepository enables investigation of donor specific responses across varied population demographics.
Figure 1 (below) exemplifies the early immune response of PCLS samples with an upregulation of IL6 transcription and protein release in response to lipopolysaccharide (LPS) application (customer data). Additional examples are available upon request.
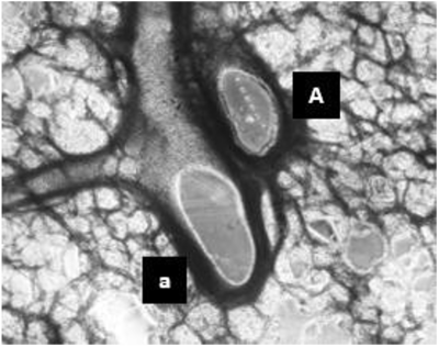
In Figure 2 (below), a thawed PCLS shows high viability and recapitulates both respiratory and vascular components. LEFT: Live/Dead staining (calcein AM and ethidium homodimer, respectively) demonstrate the high viability of thawed PCLS (imaged 2 days post-thaw, scale bar is 25µM). RIGHT: Brightfield image of a thawed PCLS with arteriole (a) and airway (A) labeled.
Our proprietary processes, streamlined logistics, and strong network relationships enable AnaBios to provide industry-leading human precision-cut lung slices that bring early human insight to drug discovery and drive advancement of the most safe and efficacious compounds.
Human precision-cut lung slices from AnaBios are representative of the high-quality standards necessary for successful drug discovery. High-quality human tissue samples such as this enable successful and accurate outcomes of downstream workflows, such as RT-PCR, spatial transcriptomics, ICC and functional assays.
The human lung is a key organ for multiple therapeutic endpoints, as well as a system that must be evaluated for potential drug-induced toxicities to ensure safety. Modeling the complex interplay of respiratory and vascular components through a reductionist approach has proven to be exceedingly difficult as significant differences exist between preclinical animals and humans1. To that end, AnaBios offers cryopreserved human precision-cut lung slices (PCLS) as an ex vivo preparation that maintains the complex cellular composition, native architecture and functionality of human lung tissue2.
With over 10 years of demonstrated industry-leading expertise and a large tissue procurement network across the United States, AnaBios has been providing best in class cryopreserved PCLS that retain native architecture for discovery and safety work across innate immune and functional endpoints for discovery, toxicity and safety testing.
Figure 3 below illustrates a northern blot of precision-cut lung tissue from six different donors. The clear separation of 28S and 18S ribosomal peaks with little to no degradation products in the entire sample provide an average RIN score of 9.6 ± 0.2 as calculated by the Agilent BioAnalyzer system, which is much higher than the industry standard of 7 (on a scale of 1-10).
The lung represents a very complex intersection of the respiratory and vascular systems and resulting cytoarchitecture. AnaBios’ precision-cut lung slices accurately represent these components with high viability for successful downstream interrogation. PCLS samples show greater than 90% viability upon thaw and contain both respiratory and vascular components.
Ultimately, the usefulness of a preclinical model is determined by its functionality, clinical translation and adaptability to drug discovery workflows. In addition to recapitulating expected responses across respiratory and vascular dilation and constriction, our human precision-cut lung slices are shipped and stored as cryopreserved samples, ready to be thawed and used on-demand when needed in your workflow.
As shown below in Figure 4, an example of a qualified human PCLS reacts to dilators and constrictors with identical responses from fresh and cryopreserved samples. Thawed PCLS can also show bronchial dilation. The movie illustrates bronchial dilation in response to a drug application (left) with the time course of dilation (middle) and quantification (right).
Precision-cut lung slices (PCLS) have emerged as a powerful tool in the field of respiratory research, particularly in the context of drug discovery. These slices, derived from healthy and diseased human tissue, offer a unique platform for studying the complex interactions between different cell types and the extracellular matrix in the native three-dimensional architecture of the lung.
This ex vivo model has gained significant attention in recent years due to its ability to closely recapitulate the complexity of the lung’s native environment, making it an ideal tool for advancing our understanding of chronic lung diseases and identifying potential therapeutic targets.
Precision-cut lung slices (PCLS) have emerged as a powerful tool in the field of respiratory research, particularly in the context of drug discovery. These slices, derived from healthy and diseased human tissue, offer a unique platform for studying the complex interactions between different cell types and the extracellular matrix in the native three-dimensional architecture of the lung.
This ex vivo model has gained significant attention in recent years due to its ability to closely recapitulate the complexity of the lung’s native environment, making it an ideal tool for advancing our understanding of chronic lung diseases and identifying potential therapeutic targets.
Figure 5 (above) shows fresh and thawed PCLS responses to endothelin application. Pictographs showing precision-cut lung slice samples with arteriole (a) and airway (A) components (left) and the selective and identical responses of arterioles in the fresh and thawed arterioles to endothelin application (right).
1. Persson CG. Con: mice are not a good model of human airway disease. Am J Respir Crit Care Med. 2002 Jul 1;166(1):6-7; discussion 8. doi: 10.1164/rccm.2204001. PMID: 12091161.
2. Liu G, Betts C, Cunoosamy DM, Åberg PM, Hornberg JJ, Sivars KB, Cohen TS. Use of precision cut lung slices as a translational model for the study of lung biology. Respir Res. 2019 Jul 19;20(1):162. doi: 10.1186/s12931-019-1131-x. PMID: 31324219; PMCID: PMC6642541.
PCLS have been utilized in various facets of respiratory research, including toxicology, metabolism, drug discovery, lung cancer biology, obstructive and fibrotic lung diseases, respiratory pathogen exposure, the mechanics of breathing and vascular lung disease. Studies have demonstrated the effectiveness of PCLS in evaluating biomarker release, structural integrity, tissue viability and inflammation, making them a valuable tool for assessing the efficacy of novel therapeutics.
In addition to their use in drug discovery, PCLS have also been employed in the study of respiratory infectious diseases. For instance, PCLS have been used to investigate the mechanisms of respiratory pathogens and to evaluate the efficacy of novel antimicrobial agents. This has significant implications for the development of new treatments for respiratory infections, which are a major cause of morbidity and mortality worldwide.
Recent advances in PCLS technology have led to an increased use of these slices in CLD research. Improved methodologies and accessibility to human tissue have enabled researchers to study CLDs in a more realistic and relevant setting.
Furthermore, the development of novel techniques, such as spatial RNA sequencing, has provided new insights into the distribution and behavior of different cell types in the lung, further enhancing the utility of PCLS in drug discovery. Looking forward, the use of PCLS is expected to continue to play a significant role in the development of novel therapeutics for CLDs.
As researchers continue to refine and improve PCLS technology, it is likely that these slices will become an increasingly important tool in the drug discovery process.
Furthermore, the integration of PCLS with other advanced technologies, such as single-cell RNA sequencing and organ-on-a-chip platforms, is likely to provide even more detailed insights into the mechanisms underlying CLDs and to accelerate the development of effective treatments.
WHITE PAPER
This white paper introduces AnaBios’ innovative use of human precision-cut lung slices as a robust preclinical model for studying pulmonary fibrosis and testing anti-fibrotic therapies. It highlights the platform’s ability to retain human tissue architecture, providing physiologically relevant insights into disease mechanisms and therapeutic responses.
To inquire about products, services and pricing, please go to the ‘Contact Us’ page by clicking the button below.
To request a quote for human lung tissue, please complete the form below. We will respond to you in 24 business hours.